CircRNA鑒定及研究方法
環狀RNA(Circular RNA,縮寫為CircRNA)屬于非編碼RNA(non-coding RNA, ncRNA),是近些年新興的一個重要研究熱點。CircRNA是一類不具有5'端帽子和3'端poly(A)結構,并且以共價鍵形成環狀分子結構的RNA分子(圖1)。CircRNA主要是通過反向剪接(back-splicing)的方式產生,明顯不同于線性RNA(linear RNA)經典的5'–3'的模式。

每一個研究熱點背后都有它的背景故事,從不被認知到受到廣泛的親賴。下面,就讓我們一起看一下CircRNA的發現史。
CircRNA發現史
◆ 1976年,美國農業部的科研工作者在馬鈴薯紡錘塊莖病的研究中發現類病毒(Viroids)能侵染植株并導致死亡。但與常規病毒不同的是,發現的類病毒并沒有蛋白質外殼包被,核酸是單鏈、閉合、RNA分子。
◆ 1979年,洛克菲勒大學的Hsu和Coca-Prados,用電子顯微鏡在真核細胞細胞質中觀測到環狀RNA的存在,這為CircRNA存在提供了最直接的證據。
◆ 1991年,Nigro在HCT116等人源細胞DCC基因中發現轉錄的CircRNA。
◆ 1993年,Capel在成年小鼠睪丸中發現精子決定基因Sry中存在CircRNA的轉錄。
◆ 2006年,Houseley在果蠅中發現來自于Muscleblind基因的未知環狀轉錄本。
◆ 2012年,Salzman通過RNA-Seq方法首次報道了大約80個環狀RNA分子。至此借助于高通量測序技術,環狀RNA的研究,正式開始大量進入人們的視野。
◆ 2013年,Nature雜志兩篇重要的研究論文揭示出一些環狀RNA充當分子“海綿”,結合并封閉了microRNAs。自此,環狀RNA在科學界受到了前所未有的關注。
隨著環狀RNA功能、作用被逐步揭開,環狀RNA的研究也越來越受到重視。接下來,就讓我們從CircRNA的分類、作用、鑒定方法和研究方法四個方面,詳細的了解下circRNA。
CircRNA的分類
CircRNA在各種動物、植物、昆蟲和真菌等均有發現。到目前為止,主要發現了大約183000種人源circRNA,96000種猴源circRNA和82000種鼠源circRNA[1]。與mRNA等線性RNA相比,circRNA在機體內的表達量較少,但表達模式卻與其線性同源RNA不同,其表達不依賴于其同源的線性RNA。
CircRNA按照含有的外顯子和內含子模式的不同,主要可以分為以下四類:
1) 單外顯子circRNA,single exon circRNA;
2) 多外顯子circRNA,multi-exon circRNA;
3) 外顯子和內含子共存的circRNA,exon-intron circRNA;
4) 內含子circRNA,intronic circRNA;

CircRNA的作用
? 作為miRNA的sponge/decoy(海綿)
例如:在哺乳動物的大腦中富含的CDR1as(也稱作ciRS-7)包含有70多個miR-7的保守結合位點,在人源細胞系中減少CDR1as的表達,可以顯著的減少包含有miR-7結合位點mRNA在細胞中的含量[6]。
? 作為RBP(RNA Bingding Protein)的sponge/scafford(海綿)
例如:與動脈粥樣化疾病相關的CircANRIL,通過結合核糖體60S亞單元組裝因子,來抑制血管平滑肌細胞和巨噬細胞中核糖體的形成,從而造成動脈粥樣化的壓力和細胞死亡[7]。
? 參與蛋白的翻譯或其本身被翻譯
例如:Circ-ZNF609可以不依賴于剪接和加帽而翻譯成蛋白,產生的蛋白在肌肉分化中起到一定的作用[8]。
? 調控基因的轉錄
例如:擬南芥中,SEPALLATA3(也稱SEP3)是在花的同源異形表型中所必須的,而CircSEP3可以調控SEP3基因的剪切。CircSEP3來源于SEP3的外顯子6,并與之形成了一個RNA-DNA的雜合鏈,這導致了外顯子6的轉錄終止,從而發生了外顯子跳躍,導致產生了一個新的SEP3的mRNA剪切體[9]。
? 腫瘤發生的調控
例如:HPV(human papillomavirus)會產生包含有致癌性E7基因的CircE7,其中HPV-16產生的CircE7會翻譯生成E7致癌蛋白。在CaSki宮頸癌細胞中,減少CircE7含量會導致E7蛋白的減少,并且會抑制細胞的生長,這項結果在細胞水平上和體內實驗都得到了驗證[10]。
? 神經調控
例如:對正常個體和患有阿爾茨海默氏病個體的頂葉皮層組織進行RNA-Seq分析顯示,CircRNA的表達量在早期的時候就有明顯的變化,而且這種變化獨立于其來源的線性RNA的表達[11]。
CircRNA還可能在免疫、發育等過程中起到重要的作用。
CircRNA的鑒定方法
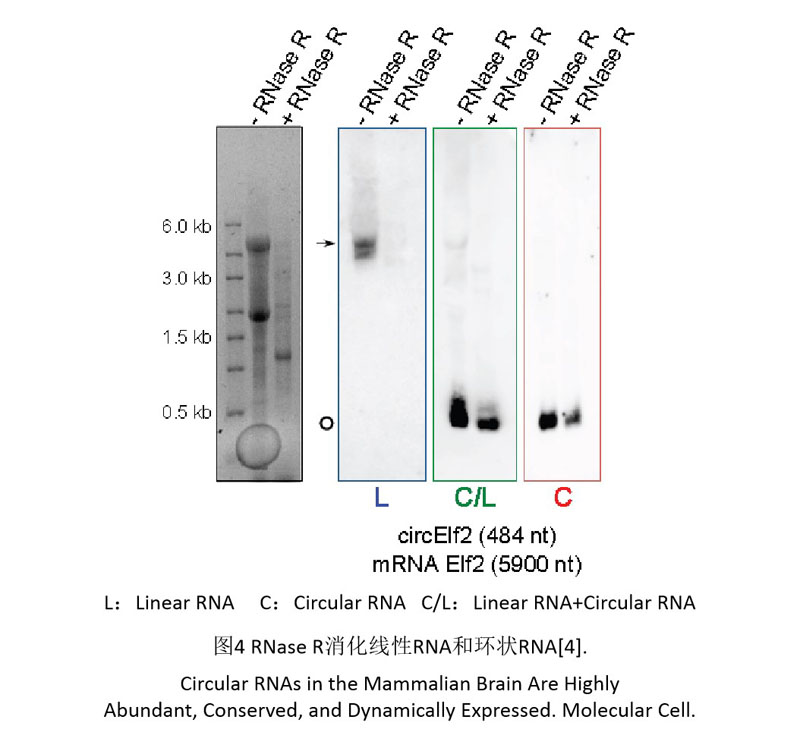
RNase R消化檢測
RNase R是一種來源于大腸桿菌的核酸外切酶,它可以沿RNA的3’-5’方向切割、降解RNA,能夠消化幾乎所有的線性RNA分子,但不易消化呈環形的RNA、套索結構或3’端突出末端少于7 nt的雙鏈RNA分子(圖4)。

RNase R檢測并非是必須的,但可以作為一個很典型的實驗證明和鑒定circRNA。RNase R主要用于circRNA的鑒定和富集實驗,需要根據具體的實驗內容和目的決定是否進行RNase R消化。
RNase R并不是絕對的不能消化circRNA,消化時間過長、RNase R的用量過高都有可能會導致在酶消化后CircRNA的含量也有明顯降低(圖5),所以在使用RNase R進行消化時,還要進行相應的預實驗,設置好相應的對照,看是否對于所要研究的CircRNA有明顯的影響,保證實驗結果的準確性。

qPCR檢測
qPCR檢測通過引物特異性和位點設計來保證所檢測的為環狀RNA,一般多用于高通量測序后的數據驗證及后續功能研究的定量檢測(圖6)。Convergent引物作為參照,不管是基因組或線性RNA還是環狀RNA均可擴增,而Divergent引物只有環狀RNA可以被擴增出來。
如果是以qPCR進行定量檢測,一般可以不做RNase R檢測,即不需要對circRNA進行富集(線性RNA被消化)。

RNA-Seq檢測
CircRNA可以通過RNA-seq技術進行大規模的鑒定,由于CircRNA在總RNA的含量占比比較低,為了增加CircRNA的檢出種類和檢出效果,一般會對CircRNA進行富集。富集的方法有很多種,大體上的原理都是通過技術手段去掉總RNA中不需要的RNA來達到富集的目的,比如使用RNase R消化總RNA、使用探針結合并去除核糖體RNA等。
進行RNA測序后,就可以使用生物信息學工具或方法在全基因組范圍內鑒定circRNA。目前基于RNA-seq測序數據鑒定circRNA的方法主要是通過檢測是否有read能匹配到back-splicing junction (BSJ) site來判斷,即circRNA的首和尾連接處的序列。
CircRNA的研究方法
隨著對CircRNA的了解,研究方法也在不斷的成熟。這里我們為大家整理了近年來的CircRNA的研究方法,供大家參考[1]

相關產品推薦
參考文獻
[1] The expanding regulatory mechanisms and cellular functions of circular RNAs. Molecular Cell Biology.
[2] Electron microscopic evidence for the circular form of RNA in the cytoplasm of eukaryotic cells.Nature.
[3] Circular RNAs: Biogenesis, Function and Role in Human Diseases. Frontiers in Molecular Biosciences.
[4] Circular RNAs in the Mammalian Brain Are Highly Abundant, Conserved, and Dynamically Expressed. Molecular Cell.
[5] Circular RNAs are a large class of animal RNAs with regulatory potency.Nature.
[6] Circular RNAs are a large class of animal RNAs with regulatory potency. Nature.
[7] Expression of linear and novel circular forms of an INK4/ARF- associated non- coding RNA correlates with atherosclerosis risk. PLoS Genet.
[8] Circ-ZNF609 is a circular RNA that can be translated and functions in myogenesis. Mol. Cell
[9] A circRNA from SEPALLATA3 regulates splicing of its cognate mRNA through R-loop formation. Nat. Plants.
[10] Transforming activity of an oncoproteinencoding circular RNA from human papillomavirus. Nat. Commun.
[11] An atlas of cortical circular RNA expression in Alzheimer disease brains demonstrates clinical and pathological associations. Nat. Neurosci.


