PerfectStart? Green qPCR SuperMix
染料法熒光定量PCR預混液
目錄號: AQ601-01-V2
單 價:¥440
產品詳情介紹
本產品包含PerfectStart? Taq 熱啟動酶 (利用3種單克隆抗體與Taq DNA Polymerase高效結合,有效地封閉了DNA聚合酶活性,阻止了低溫下的非特異性擴增)、優化的雙陽離子緩沖液、SYBR Green I 熒光染料、dNTPs、PCR增強劑、PCR穩定劑。本產
品濃度為2×,使用時只需加入模板、引物、Universal Passive Reference Dye和水,使其工作濃度為1×,即可進行反應。
? 3種抗體封閉,特異性高,靈敏度高,擴增效率強,適用物種范圍廣。
? 雙陽離子緩沖液,增強特異性,減少引物二聚體形成,數據準確。
? 配有適用于不同機型的Passive Reference Dye (調整PCR加樣誤差引起的管間差異 ),數據準確。

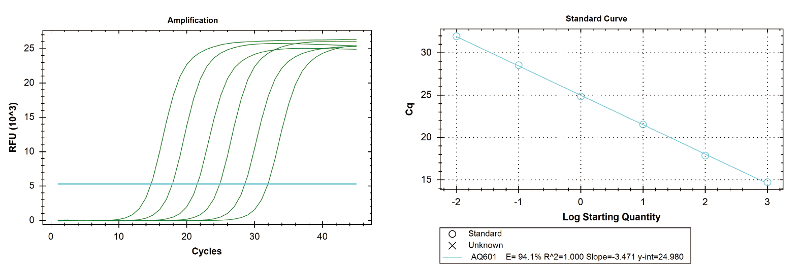
擴增效率

以梯度稀釋的質粒DNA (10 ng~ 0.1 pg,10倍稀釋)為模板進行擴增得到的擴增曲線和標準曲線。結果顯示,TransGen產品擴增效率較高,可得到漂亮的擴增曲線和標準曲線。
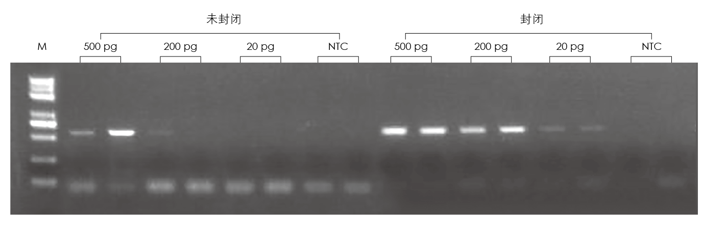
封閉效果

以不同濃度人gDNA為模板擴增,瓊脂糖凝膠電泳檢測PerfectStart? Taq熱啟動酶封閉效果。結果顯示,封閉后可顯著提高擴增靈敏度和特異性。

以小麥cDNA為模板,qPCR檢測PerfectStart? Taq熱啟動酶封閉效果。結果顯示,封閉后可顯著提高擴增特異性。
產品穩定性

不同溫度保存及反復凍融處理后TransGen產品仍可穩定擴增
無NTC擴增基因數量統計

使用TransGen與Company T的產品,擴增58個基因(9個人的基因,7個小鼠的基因,17個水稻的基因,8個煙草的基因,4個擬南芥的基因,10個小麥的基因,3個玉米的基因)。無NTC擴增基因數統計。結果顯示,TransGen產品無NTC擴增基因數高于Company T,擴增效果更佳。
擴增靈敏度

以500 ng的人源RNA反轉錄(TransGen, AT311)后得到的cDNA為模板梯度稀釋,分別使用TransGen與Company T產品擴增β-actin (NTC無擴增)。結果顯示,TransGen產品擴增靈敏度與Company T產品基本一致。
不同物種模板擴增

以不同物種的RNA反轉錄(TransGen, AT311)后得到的cDNA為模板分別使用TransGen與Company T的產品進行擴增(NTC無擴增)。結果顯示,TransGen產品擴增效果與Company T產品基本一致。


產品介紹視頻
1.Zhang B, He P, Lawrence J E G, et al. A human embryonic limb cell atlas resolved in space and time[J]. Nature, 2023.(IF 64.80)
2.Zhang J Y, Wang B, Xu H R, et al. Root microbiota regulates tiller number in rice[J]. Cell, 2025.(IF 45.50)
3.Zhao K, Xue H, Li G, et al. Pangenome analysis reveals structural variation associated with seed size and weight traits in peanut[J]. Nature Genetics, 2025. (IF 31.80)
4.Xiang B, Zhang M, Li K, et al. The epitranscriptional factor PCIF1 orchestrates CD8+ T cell ferroptosis and activation to control antitumor immunity[J]. Nature Immunology, 2025.(IF 27.80)
5.Huang L, Wei M, Li H, et al. GP73-dependent regulation of exosome biogenesis promotes colorectal cancer liver metastasis[J]. Molecular Cancer, 2025.(IF 27.70)
6.Deng P, Wang Z, Chen J, et al. RAD21 amplification epigenetically suppresses interferon signaling to promote immune evasion in ovarian cancer[J]. The Journal of Clinical Investigation, 2022.(IF 19.46)
7.Huang J, Wu C, Kloeber J A, et al. SLFN5-mediated chromatin dynamics sculpt higher-order DNA repair topology[J]. Molecular Cell, 2023.(IF 19.33)
8.Liang Y, Wang J, Xu C, et al. Remodeling Collagen Microenvironment in Liver Using a Biomimetic Nano‐Regulator for Reversal of Liver Fibrosis[J]. Advanced Science, 2023.(IF 17.52)
9.Liang Y, Zhang J, Xu C, et al. Biomimetic Mineralized CRISPR/Cas RNA Nanoparticles for Efficient Tumor-Specific Multiplex Gene Editing[J]. ACS nano, 2023.(IF 17.10)
10.He F, Liu Z, Xu J, et al. Black phosphorus nanosheets suppress oxidative damage of stem cells for improved neurological recovery[J]. Chemical Engineering Journal, 2023.(IF 16.74)
11.He F, Cheng K, Qi J, et al. Black phosphorus nanosheets enhance differentiation of neural progenitor cells for improved treatment in spinal cord injury[J]. Chemical Engineering Journal, 2023.(IF 15.10)
12.Chen B, Jin K, Dong J, et al. Hypocretin‐1/Hypocretin Receptor 1 Regulates Neuroplasticity and Cognitive Function through Hippocampal Lactate Homeostasis in Depressed Model[J]. Advanced Science, 2024.(IF 14.30)
13.Huang C, Jiang T, Pan W, et al. Ubiquitination of NS1 confers differential adaptation of zika virus in mammalian hosts and mosquito vectors[J]. Advanced Science, 2024.(IF 14.30)
14.Liang Y, Zhang J, Wang J, et al. Restoring Tumor Cell Immunogenicity Through Ion‐Assisted p53 mRNA Domestication for Enhanced In Situ Cancer Vaccination Effect[J]. Advanced Science, 2025(IF 14.30)
15.Cui B, Guo X, Zhou W, et al. Exercise alleviates neovascular age-related macular degeneration by inhibiting AIM2 inflammasome in myeloid cells[J]. Metabolism, 2023.(IF 13.93)
16.Sun D, Zhang X, Yin Z, et al. As-hyperaccumulator Pteris vittata and non-hyperaccumulator Pteris ensiformis under low As-exposure: Transcriptome analysis and implication for As hyperaccumulation[J]. Journal of Hazardous Materials, 2023.(IF 13.60)
17.Xiong Y, He C, Lin X, et al. Black phosphorus nanosheets inhibit glioblastoma cell migration and invasion through modulation of WNT/β-catenin and NOTCH signaling pathways[J]. Chemical Engineering Journal, 2024.(IF 13.40)
18.Zuo F, Jiang L, Su N, et al. Imaging the dynamics of messenger RNA with a bright and stable green fluorescent RNA[J]. Nature Chemical Biology, 2024.(IF 13.00)
19.Zhang J, Yuan J, Lin J, et al. Molecular basis of locus-specific H3K9 methylation catalyzed by SUVH6 in plants[J]. Proceedings of the National Academy of Sciences, 2023.(IF 12.78)
20.Xu J, Zhao J, Wang R, et al. Shh and Olig2 sequentially regulate oligodendrocyte differentiation from hiPSCs for the treatment of ischemic stroke[J]. Theranostics, 2022.(IF 11.56)
21.Cheng H, Liu S, Zhang Y, et al. Comparative single-cell transcriptomic map reveals divergence in leaves between two cotton species at cell type resolution[J]. Journal of Advanced Research, 2025(IF 11.40)
22.Wang X, Ling R, Peng Y, et al. RNPS1 stabilizes NAT10 protein to facilitate translation in cancer via tRNA ac4C modification[J]. International Journal of Oral Science, 2024.(IF 10.80)
23.Yang D, Wang W, Zhao L, et al. Resuscitation of viable but nonculturable bacteria promoted by ATP-mediated NAD+ synthesis[J]. Journal of Advanced Research, 2024.(IF 10.70)
24.He F, Du D, Chen Z, et al. A natural variation in the promoter of TaGDSL‐7D contributes to grain weight and yield in wheat[J]. Plant Biotechnology Journal, 2025.(IF 10.50)
25.Su D, Li M, Xie Y, et al. Gut commensal bacteria Parabacteroides goldsteinii-derived outer membrane vesicles suppress skin inflammation in psoriasis[J]. Journal of Controlled Release, 2025.(IF 10.50)
26.You L Y, Lin J, Xu H W, et al. Intragenic heterochromatin‐mediated alternative polyadenylation modulates miRNA and pollen development in rice[J]. New Phytologist, 2021.(IF 10.15)


