TransDirect? Mouse Genotyping Kit
直接小鼠基因分型試劑盒
目錄號: AD501-01
單 價:¥1100
產品詳情介紹
本試劑盒采用獨特的裂解液裂解小鼠基因分型常用的耳朵、腳趾、尾巴(新鮮或凍存組織)等組織,所得裂解物無需純化即可直接作為模板,用高效率、抗抑制的2×TransDirect? Mouse Genotyping SuperMix (+dye) 進行擴增,擴增產物可直接電泳點樣。
? 直接以裂解物為模板進行PCR,操作簡便,適合高通量實驗。
? 擴增效率高,可進行5對引物多重PCR,適用于小鼠的PCR快速基因分型等。


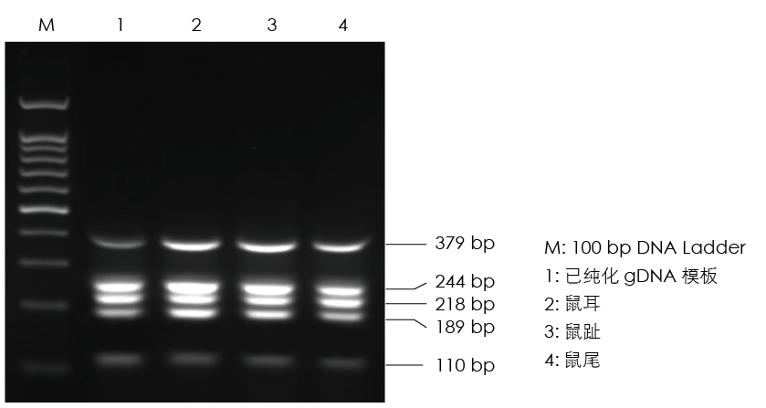
使用TransGen 產品,分別以純化的小鼠gDNA和未經純化的小鼠組織為模板,進行5重PCR擴增,1.0 %瓊脂糖凝膠電泳分析擴增結果。
1.Li S, Peng Z, Huang Q, et al. DsbA-L deficiency promotes cigarette smoke-induced bronchial epithelial cells ferroptosis by inhibiting catalase in COPD[J]. Environmental Technology & Innovation, 2025.(IF 7.10)
2.Li M, Yang L, Qian W, et al. A novel rat model of Dravet syndrome recapitulates clinical hallmarks[J]. Neurobiology of Disease, 2023.(IF 5.10)
3.Wang X, Ren S, Yu W, et al. Cognitive impairments in adult mice with RIP140 overexpression in neural stem cells[J]. Behavioural Brain Research, 2020. (IF 3.33)



